NOBORI PALは新しいクラウドサービスです。NOBORIで培ったセキュアなインフラを活用し、クラウド上で処理される様々なサービスをご利用いただけます。従来であればサーバやセキュリティ機器が必要となるシステム拡張や新機能の追加が、クラウド上にある共有設備を利用する事で、施設毎の必要性に応じて簡単かつ低コストに提供できるようになりました。


NOBORI PALは新しいクラウドサービスです。NOBORIで培ったセキュアなインフラを活用し、クラウド上で処理される様々なサービスをご利用いただけます。
NOBORI PALで提供するサービスは、自社サービスに限定されません。「クラウド上に便利を集め、医療機関を支援したい」という思いを共にする仲間(=PAL)が集まってスタートする新しいサービスです。AIを用いた診断支援機能、3Dなどの高度な画像解析、症例DB、カンファレンス機能、音声認識など、高い専門性、部門を限定しないサービスがNOBORIに加わります。
『大切な医療情報をクラウドで安全に保管・共有・活用し、社会の集合知へと高めて、病院・医療機関、医師・スタッフ、患者・生活者にもそれぞれ還元したい』というNOBORIの理念を更に追求し、多くの独立したサービス供給者が協力しあう事で、継続的なサービスの成長、充実をお約束します。
使いたい機能を使いたいタイミングで、NOBORIに追加することが可能です。
施設毎に必要であった、サーバ、セキュリティ、認証、課金の仕組みをクラウドのデータセンターに集約。安全性の高いサービスです。
利用料は月額利用料や従量課金制となっているため、NOBORIと同様にリーズナブルな価格で安心してお使いいただけます。
バージョンアップに必要な工数やコストを大幅に軽減。常に最新サービスをご利用いただけます。
放射線科に留まらず、各診療科やIT部門、地域医療連携部門など院内全体にとっての便利も提供していきます。
医療施設やPAL=仲間から、サーバ資源の利用費以外の手数料は考えていません。どちらにもメリットのあるエコシステム*の実現を目指しています。
NOBORI PALは、診断支援、医療連携/遠隔医療、モバイル・ソリューション、症例DB/教育支援、他部門画像・情報連携、アウトソーシング(人的サービス)、管理業務支援、ユーティリティの8つのサービス種別で構成されています。
特に「AI」を活用したサービスは、続々増えております。「AI」を活用したサービスはこちら。
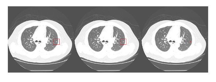
疾患や部位に特化した専門性の高い画像解析機能、AIを用いた診断支援機能など、日常の読影/診断業務を支援するサービスを提供します。
他施設からの検査予約、メディアを用いない情報提供、テレラジオロジー、テレパソロジーなど、クラウドならではの院外連携機能を提供します。
緊急時や夜間の画像参照など医療機関外での利用ニーズに応えるため、デバイスを選ばない安全性の高いサービスを提供します。
日々発生する医療データ、個々に蓄積されたナレッジの共有を進めるためのDBやカンファレンス機能を提供します。
他部門で発生する画像や情報をNOBORIならではの安全性と低価格で保存、利用できるようになります。
ソフトウェアを用いたサービスだけでなく、専門性の高い技術や知見を有するプロフェッショナル(人)によるサービスを提供します。
クラウド化による管理業務の負荷軽減から前進し、IT資産管理や読影モニターの精度管理、経営管理など様々な管理業務を支援するサービスを提供します。
NOBORIのサービスを更に簡単、便利に使うための各種機能を提供します。
NOBORIで使用しているセキュリティ技術を応用する事で、セキュアにファイルの送受信が可能になりました。
送信するファイルを暗号化した後、秘密分散法により分割します。さらに、それぞれのファイルを別々のデータセンターへ送信することで、高いセキュリティを実現しています。